Analyze Cephalometric X- rays in seconds

Automatic cephalometric landmark detection and analysis using Artificial Intelligence. Superimposition. Reduce time needed for analysis. Improve diagnosis. Enhance patient care.

Features

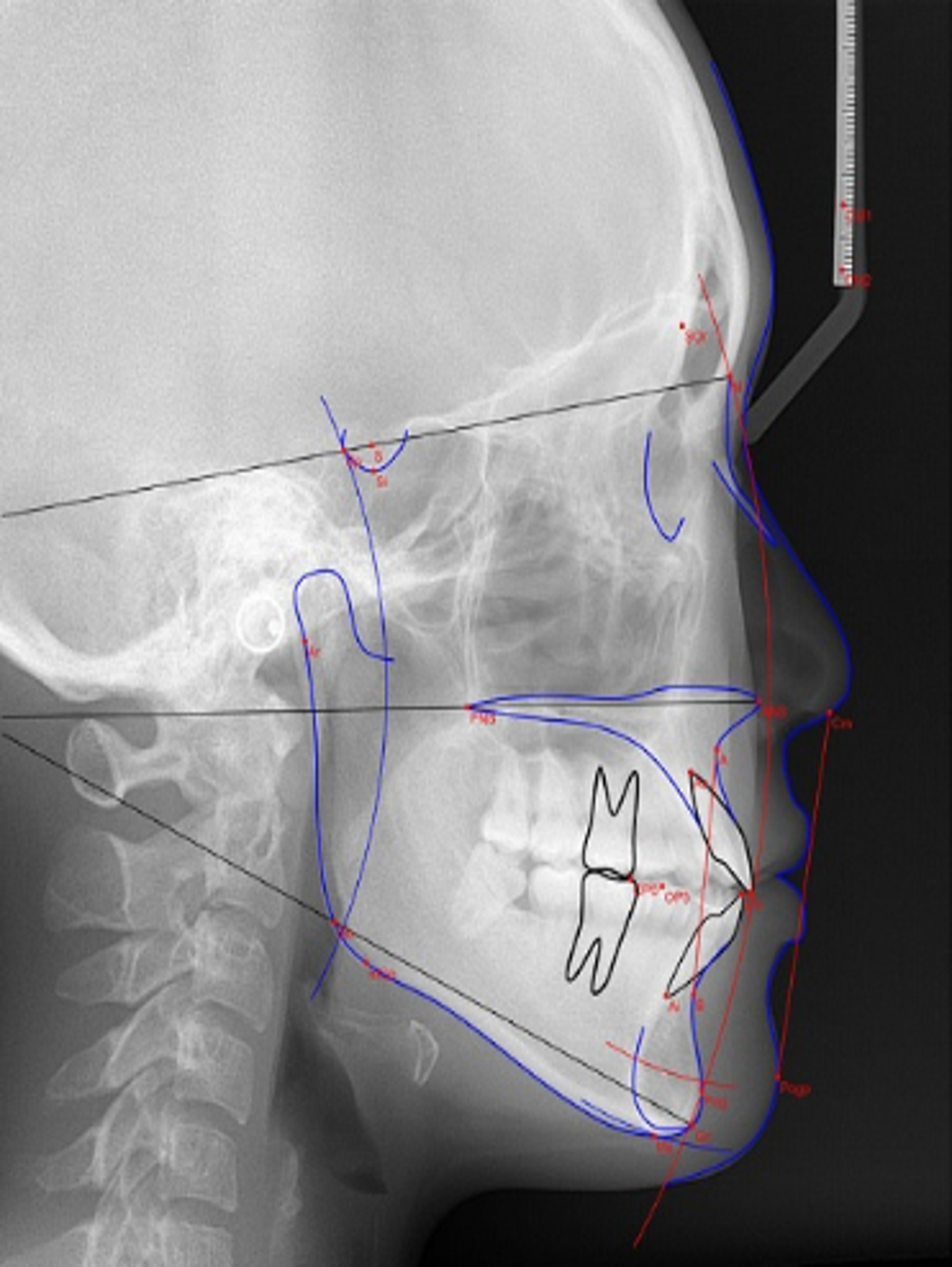
Cephalometric X-ray

Immediate Cephalometric Tracing

Analyze cephalometric landmarks to streamline the orthodontic pre-treatment process.

Cephalometric X-ray

Superimpose two analyses

Select two analyses which you want to compare, and the superimposition will be done automatically.

Cephalometric X-ray

Store and access comprehensive patient profiles

Including medical history, treatment plans, and progress notes, all in one secure location. Easily link cephalometric and panoramic x-ray analyses to each patient’s profile for quick reference and comparison.

COMING SOON

Teeth Segmentation feature for panoramic x-rays

The Teeth Segmentation feature for panoramic x-rays uses sophisticated AI algorithms to accurately identify and isolate individual teeth within the image.

This precise segmentation allows for detailed analysis of each tooth's structure, positioning, and potential issues.

Teeth Segmentation Feature

Dently AI is a dedicated team of Orthopedic professionals,

AI and software developers located in Belgrade, Serbia.

Mission Icon

Mission

To empower dentists with cutting-edge web applications powered by artificial intelligence to enhance their diagnostic capabilities in analyzing all 2D and 3D types of x-rays, improving patient and treatment outcomes.

Vision Icon

Vision

To be the leading provider of AI-driven web applications for all healthcare professionals, revolutionizing the way x-rays are analyzed and contributing to advancements in diagnostics worldwide.

Values

Innovation

We are committed to pushing the boundaries of technology and harnessing the power of AI to deliver innovative solutions that revolutionize dental diagnostics.

Empowerment

We aim to empower dentists with advanced tools and insights, enabling them to make well-informed treatment decisions and improve patient outcomes.

Collaboration

We believe in fostering collaboration and partnerships with dental professionals, researchers, and industry experts to contribute continually to the dental community.

Ethics

We adhere to the highest ethical standards in handling patient data, ensuring privacy and confidentiality, and conducting our research and development in a responsible manner.

What doctors say

Dr. Emily Harris

Dr. Emily Harris

As a busy orthodontist, managing patient x-rays has always been time-consuming. Since using this AI-powered x-ray analysis tool, I can quickly analyze both initial and repeated x-rays to accurately monitor progress. The predictive and automation analysis features are game-changers for my practice.

Dr. James Lin

Dr. James Lin

Integrating this web app into my workflow has been seamless. The patient management system keeps all my records organized, and the AI analysis is incredibly accurate. My patients appreciate the extra time I can spend with them, and I appreciate the efficiency it provides.

Dr. Anna Smith

Dr. Anna Smith

The AI analysis tool is an amazing resource. I can provide quick and accurate updates to my patients regarding their progress, and I love the extra time it frees up for me to focus on other tasks. This has been a great addition to my practice.

Contact us